В России зафиксировали первый случай «попкорновой болезни», угрожающей вейперам

В России зафиксировали первый случай «попкорновой болезни», угрожающей вейперам

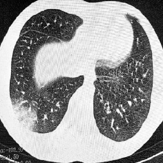
Впервые в стране выявлены случаи заболевания, связанного с вейпингом. Пострадали двое подростков из Томска: у одного диагностировали EVALI, а у второго — токсическое поражение нервной системы.
0

Мудрые высказывания от Ксении Собчак

Мудрые высказывания от Ксении Собчак

В Сети всплыло архивное видео, где Ксения Собчак беседует с Павлом Табаковым. Рядом с ней — ее нынешний супруг Константин Богомолов, а это значит, что звезда может позволить себе некоторые вольности.
-2

Интересные факты для всех случаев жизни


Зачем на часах существует секундная стрелка? Где изначально планировали установить Статую Свободы? Какие необычные ингредиенты добавляют в чай в Западном Китае? Эти и другие удивительные факты собраны в нашей новой подборке.
+2