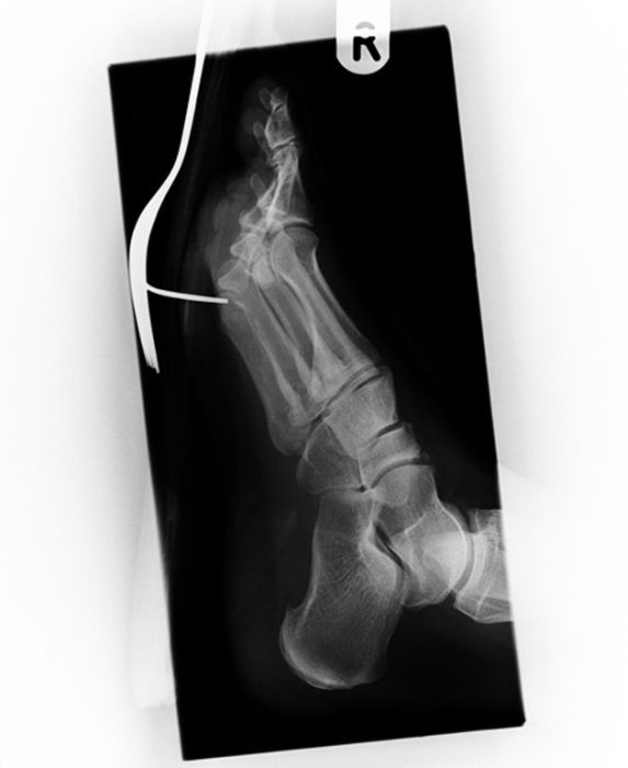
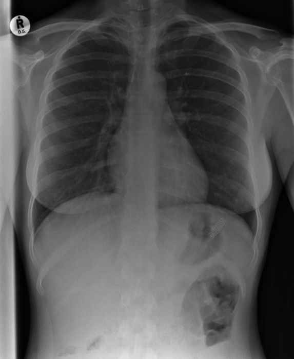
Рентгеновские снимки людей, которые умудрились сами или с чужой помощью разместить внутри своего организма разные посторонние предметы. От вилок и ножей до пуль и бензопилы (!!!). По этическим соображениям обычные снимки таких травм и повреждений выкладывать нельзя, зато рентгеновские можно – на них травмы видны достаточно условно, хоть и очень понятно.
Настоящий фильм ужасов, мы вас предупредили!
Комментариев 2
Посетители, находящиеся в группе Гости, не могут оставлять комментарии к данной публикации.