Фотографии Спайка Уокера (Spike Walker), ставшего победителем нового конкурса Королевского фотографического общества, проливают свет на мир микроскопических форм, который недоступен невооруженному человеческому глазу.
Яйцеклетка и сперматозоиды. Неудачная попытка искусственного оплодотворения.
Морская соль и перец.
Эмбрион мыши в сагиттальном сечении.
Семя кентрантуса красного (Centanthus ruber).
Паяные соединения карты памяти.
Насекомое вида Mymar pulchellus.
Окисленная аскорбиновая кислота (витамин С), выкристаллизовавшаяся из водного раствора.
Мандибулы водяного паука, помещённые в канадский бальзам.
Присоски на передних лапках самца окаймлённого плавунца (Dytiscus marginalis), которые помогают удерживать самку во время спаривания.
Кристаллы сахарозы в растворе желатина.
Известковая раковина фораминиферы из Южно-Китайского моря.
Кристаллы парацетамола из спиртового раствора.
Ржавчинные грибы Puccinia lagenophorae и aecidia на листе.
Одноклеточная пресноводная водоросль, относящаяся к роду Closterium.
Бактерии и инфузории в воде из цветочной вазы.
Деление клетки десмидиевых водорослей (Micrasterias apiculata).
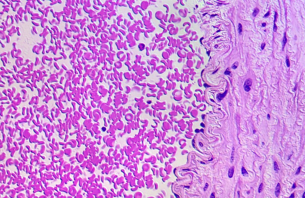
Участок стенки артерии примата толщиной 1,5 микрометра и кровь, окрашенная гематоксилином и эозином.
Диатомовая водоросль.
Посетители, находящиеся в группе Гости, не могут оставлять комментарии к данной публикации.