Житель ЮАР четыре дня провел с 10-сантиметровым лезвием ножа в черепе
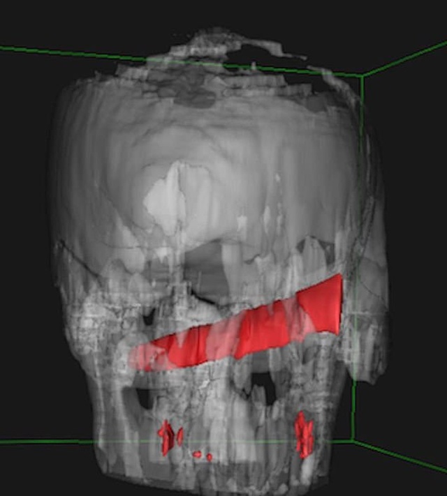
История жителя ЮАР шокировала общественность после того, как выяснилось, что он 4 дня жил с 10-сантиметровым лезвием ножа в голове. Этот инцидент случился в Йоханнесбурге, где во время драки в баре 25-летний африканец вступился за своего друга, за что получил удар ножом в левую глазницу. В результате удара нож сломался, а лезвие осталось в голове мужчины. Что самое интересное, из-за сильного алкогольного опьянения пострадавший не понял, что с ним произошло. В баре ему наложили повязку на голову, а сам он отправился домой отсыпаться.

Когда на утро к нему приехали друзья, они уговорили парня обратиться к врачам. Так как он не помнил, что с ним произошло, он лишь пожаловался докторам на сильную головную боль, которая проявлялась только при ходьбе. Пострадавшему пришлось сутки ждать, пока освободится койка в госпитале, а затем еще двое суток, пока ему сделают рентгенографию кровеносных сосудов головы. Хоть в это и верится с трудом, рентген показал, что ни одна из крупных артерий не была повреждена.


Операция состоялась только на четвертый день после происшествия. В ней принимали участие офтальмологи, отоларингологи, челюстно-лицевые хирурги и нейрохирурги. Врачи смогли без повреждений извлечь нож и головы пациента, но затем им пришлось временно зашить ему глаз. На данный момент жизни парня ничего не угрожает.

Посетители, находящиеся в группе Гости, не могут оставлять комментарии к данной публикации.