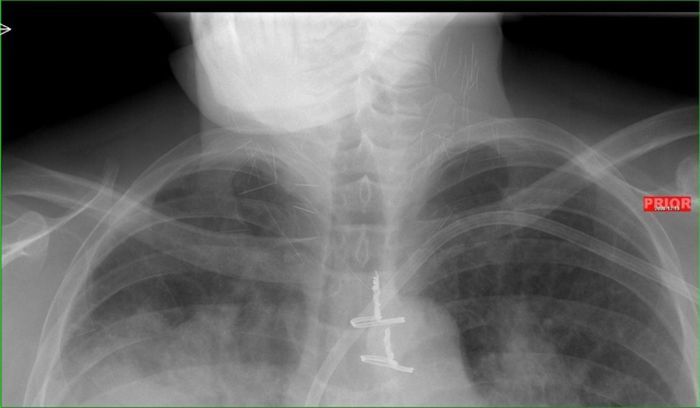
Один товарищ обратился в больничку с болями в шее, которые он (по его словам) испытывал после гриппа.
Рентген показал, что у чувака в шее огромное количество иголок.
Оказалось, что товарищ - нарк со стажем и все эти иглы остались в шее после неаккуратных инъекций.
Парня подлечили, конечно. Но иглы он отказался вытаскивать, так как он их типа любит и привык к ним.
Наркоман одним словом.
Комментариев 4
Посетители, находящиеся в группе Гости, не могут оставлять комментарии к данной публикации.