Мужчина спас зрение жены благодаря 3D печати
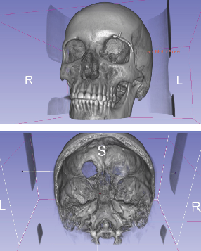
Специалист в области 3D моделирования Майкл Бэлзер использовал свои навыки, чтобы из результатов МРТ создать модель черепа своей жены с опухолью в нем. Затем он загрузил модель на Sketchfab, где нашел хирурга, согласного на операцию. Распечатанная на 3D принтере модель черепа с опухолью позволила хирургу тщательно спланировать операцию и извлечь менингиому через небольшое отверстие над глазницей, в то время как в обычных случаях для этого требуется вскрыть череп и в прямом смысле приподнять мозг. Модель можно покрутить тут.
Майкл Бэлзер лишился работы из-за длительной болезни, после чего создал карьеру в качестве специалиста по 3D моделированию, а также помогал жене, психотерапевту, разработке процедур для лечения игромании.
Его жена, Памела Шаван Скотт, незадолго до лета 2013 года перенесла операцию по удалению щитовидной железы, а летом у неё начались головные боли. Пара отнеслась к этому серьезно: боли могли быть симптомом новых проблем после операции. МРТ показало наличие в черепе за левым глазом опухоли диаметром около трех сантиметров. Неврологи объяснили, что это сущие пустяки, и что нужно только перепровериться через годик. Бэлзеру на месте не сиделось, он решил от опухоли жены избавиться как можно быстрее и занялся поисками альтернативных способов.
Один из способов — прибегнуть к помощи медицинских роботов-хирургов, для чего пришлось бы ехать из Калифорнии в Медицинский Центр Питтсбурга. Получившие результаты МРТ хирурги в этом центре согласились, что Памеле нужна операция.
Бэлзер запросил, на самом деле размеры не поменялись.
Бэлзер принялся искать инструменты, которые позволят сделать из DICOM-овских двумерных изображений трёхмерную модель. Цель работы заключалась в создании модели, которая наглядно продемонстрирует расположение и размеры опухоли. В случае с Памелой это была менингиома. Стандартная операция для этой опухоли включает в себя вскрытие черепной коробки пациента, после чего врачам нужно в прямом смысле приподнять мозг — операция очень опасная. Нервы пациента могут быть смещены, так что он может потерять обоняние, вкус или зрение. Возник вопрос: можно ли сделать такую операцию неинвазивной?
Инструменты были найдены. Во-первых, это бесплатная программа InVesalius, созданная исследовательским центром в Бразилии. Программа конвертировала результаты МРТ в DICOM файлах в 3D изображение. Это позволило крутить опухоль и рассмотреть ее со всех сторон. Результат рендера был загружен на Sketchfab, чтобы поделиться им с нейрохирургами по всей стране в надежде найти кого-то, кто согласится на подобную процедуру. Такой хирург нашелся.
Бэлзер использовал свой MakerBot для печати модели черепа. Эту модель хирург использовал, чтобы тщательно спланировать малоинвазивную операцию. Опухоль была извлечена в мае 2014 года через отверстие над глазницей. Нейрохирурги узнали, что опухоль уже начала спутывать оптические нервы, и всего полгода оставалось до потери зрения. За 8 часов врачи извлекли 95% опухоли. Спустя три недели Скотт вернулась к работе.
Сам того не зная, Бэлзер воссоздал технологию для медицинского использования, похожую на Butterfly Network Device: этот сервис включает в себя 3D сканирование и платформу для докторов и пациентов, чтобы делиться результатами через защищенный облачный сервис. Сейчас Бэлзер ведет подкаст All Things 3D, куда часто приглашает докторов в качестве спикеров, и организовал семинар на тему 3D в медицине.

Майкл Бэлзер лишился работы из-за длительной болезни, после чего создал карьеру в качестве специалиста по 3D моделированию, а также помогал жене, психотерапевту, разработке процедур для лечения игромании.
Его жена, Памела Шаван Скотт, незадолго до лета 2013 года перенесла операцию по удалению щитовидной железы, а летом у неё начались головные боли. Пара отнеслась к этому серьезно: боли могли быть симптомом новых проблем после операции. МРТ показало наличие в черепе за левым глазом опухоли диаметром около трех сантиметров. Неврологи объяснили, что это сущие пустяки, и что нужно только перепровериться через годик. Бэлзеру на месте не сиделось, он решил от опухоли жены избавиться как можно быстрее и занялся поисками альтернативных способов.
Один из способов — прибегнуть к помощи медицинских роботов-хирургов, для чего пришлось бы ехать из Калифорнии в Медицинский Центр Питтсбурга. Получившие результаты МРТ хирурги в этом центре согласились, что Памеле нужна операция.
Бэлзер запросил, на самом деле размеры не поменялись.

Бэлзер принялся искать инструменты, которые позволят сделать из DICOM-овских двумерных изображений трёхмерную модель. Цель работы заключалась в создании модели, которая наглядно продемонстрирует расположение и размеры опухоли. В случае с Памелой это была менингиома. Стандартная операция для этой опухоли включает в себя вскрытие черепной коробки пациента, после чего врачам нужно в прямом смысле приподнять мозг — операция очень опасная. Нервы пациента могут быть смещены, так что он может потерять обоняние, вкус или зрение. Возник вопрос: можно ли сделать такую операцию неинвазивной?
Менингиома — это опухоль, растущая из клеток паутинной мозговой оболочки, а именно арахноидального эндотелия — ткани, окружающей мозг.
Инструменты были найдены. Во-первых, это бесплатная программа InVesalius, созданная исследовательским центром в Бразилии. Программа конвертировала результаты МРТ в DICOM файлах в 3D изображение. Это позволило крутить опухоль и рассмотреть ее со всех сторон. Результат рендера был загружен на Sketchfab, чтобы поделиться им с нейрохирургами по всей стране в надежде найти кого-то, кто согласится на подобную процедуру. Такой хирург нашелся.

Бэлзер использовал свой MakerBot для печати модели черепа. Эту модель хирург использовал, чтобы тщательно спланировать малоинвазивную операцию. Опухоль была извлечена в мае 2014 года через отверстие над глазницей. Нейрохирурги узнали, что опухоль уже начала спутывать оптические нервы, и всего полгода оставалось до потери зрения. За 8 часов врачи извлекли 95% опухоли. Спустя три недели Скотт вернулась к работе.
Сам того не зная, Бэлзер воссоздал технологию для медицинского использования, похожую на Butterfly Network Device: этот сервис включает в себя 3D сканирование и платформу для докторов и пациентов, чтобы делиться результатами через защищенный облачный сервис. Сейчас Бэлзер ведет подкаст All Things 3D, куда часто приглашает докторов в качестве спикеров, и организовал семинар на тему 3D в медицине.

Комментариев 1
Посетители, находящиеся в группе Гости, не могут оставлять комментарии к данной публикации.