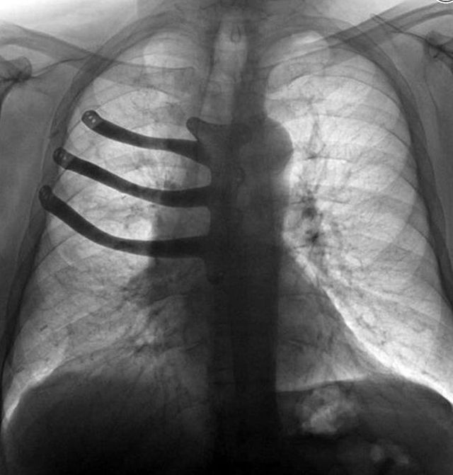
71-летний житель Британии Питер Маггс страдал от прогрессировавшего рака. Из-за болезни он лишился трех ребер и части грудной кости. Огромная опухоль распространилась на грудную клетку, поэтому некоторые кости пришлось удалить. Но врачам удалось спасти жизнь мужчины. Они напечатали новую грудину из титана.
Обычно в подобных случаях принято использовать цементные протезы. Однако медики смогли создать для Питера более прочную и точную конструкцию. Они спроектировали модель протеза и заказали ее распечатку у специализирующейся компании. Чтобы имплант был надежнее, его выполнили из титанового сплава. Операция увенчалась успехом. Пациент постепенно приходит в норму. Врачи отметили, что с таким подходом время операции уменьшается на пару часов, поскольку некоторые приготовления проходят быстрее. Кроме того, титановые импланты меньше подвергаются деформациям и сдвигам, а крепятся к костям они намного проще.
Посетители, находящиеся в группе Гости, не могут оставлять комментарии к данной публикации.