Девушка из Германии Терезия Фишер удлинила себе ноги на рекордные 14 сантиметров
Знакомьтесь, это Терезия Фишер - 31-летняя модель и блогер из Германии. Она удлинила себе ноги на рекордные 14 сантиметров. В итоге с 168 см она выросла до 182 см. Это невероятно мучительная операция, но девушка ни о чем не жалеет. По ее словам, она пошла на эти изменения, чтобы продвинуться в карьере модели и разнообразить свою сексуальную жизнь, пишет The New York Post.
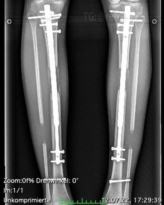
Процесс удлинения ног требует болезненной процедуры, при которой врач ломает кости в каждой ноге пациента и вставляет регулируемые телескопические стержни. В течение следующих трёх месяцев ноги постепенно удлиняются на один миллиметр в день, что в конечном итоге делает человека на несколько сантиметров выше. Операция также влечёт за собой длительный процесс восстановления с «непрекращающейся» болью из-за растяжения нервов, мышц и тканей ног.
Комментариев 2
Посетители, находящиеся в группе Гости, не могут оставлять комментарии к данной публикации.