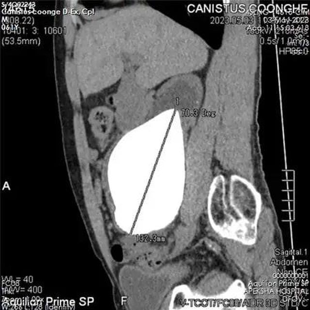
Мочекаменная болезнь (или уролитиаз) - это крайне неприятное заболевание, которое, увы, довольно часто встречается как у пожилых, так и у молодых людей. Как камушек начинает двигаться, человек испытывает жуткую боль, которую практически невозможно терпеть. Поэтому... этот случай точно войдет в историю. На Шри-Ланке из почки 62-летнего отставного военного Канистуса Кунга извлекли не камень, а настоящий булыжник! Непонятно как мужчина вообще мог жить с такой патологией. Так или иначе, мужчина побил этот сомнительный рекорд, ибо ранее таких случаев не встречалось. Угадаете, сколько весил камушек?
Вес камня составил 801 грамм, а его длина — 13.37 сантиметра! Таким образом, вес этой каменюки в 5 раз превысил вес среднестатистической мужской почки.



Посетители, находящиеся в группе Гости, не могут оставлять комментарии к данной публикации.